【x光片】女子X光照片中多了两根棒棒,医生解释后,妈妈脸都青了!

文章图片

女子X光照片中多了两根棒棒 , 医生解释后 , 妈妈脸都青了!现代社会 , 医学技术比较发达 , 但还是有很多人讳疾忌医 , 不相信医生的技术和医院的救治 , 总觉得自己扛过去这一阵就好了 , 所以很多时候 , 本来是一场小病 , 最后却拖成了大病 , 这样是非常不值得的!
相信去过医院接受治疗的人都知道 , 在不确定具体什么病之前 , 医生都会让去做各种各样的检查 。 有些人总会认为这是医院想多收钱 , 其实不然 , 人体是一个很复杂的生物结构 , 有时候同样的症状 , 但病灶却可能是不一样的 , 既然想要治好病 , 就要找准病灶 , 这样的话才能事半功倍 。
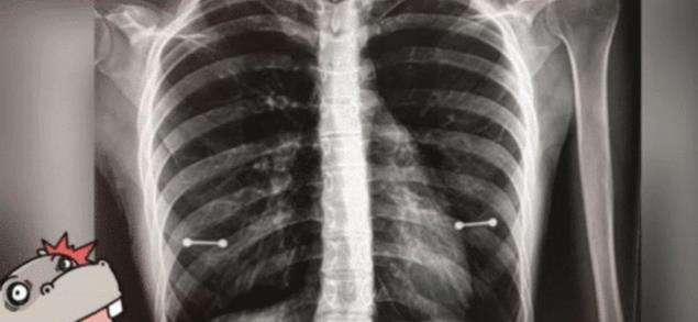
不知道大家有没有去拍过x光片 , 在拍x光片的时候 , 医生都会让病人去除身上的金属物品 , 以免影响拍在拍x光片的时候影响结果 。 前段时间 , 国外有位女子去拍前去拍x光片 , 但是最后的结果中却多出了两条棒棒!女孩的母亲非常的紧张 , 因为她很奇怪自己女儿身上怎么会有这种东西 。 但医生却笑着解释说:这是女孩儿上了乳环 , 妈妈听后非常的震惊 , 当时脸色都变了 , 没想到女儿表面上乖巧 , 私下竟这么叛逆 , 所以母亲决定回家后要和女儿好好交流一番 。
青春期的孩子处于叛逆期 , 常常会做出一些比较“疯狂”的事 , 父母要在孩子叛逆期的时候多注意孩子感情的变化 , 多交流!对此 , 您怎么看?欢迎在下方评论区各抒己见哟!
【【x光片】女子X光照片中多了两根棒棒,医生解释后,妈妈脸都青了!】来源:大象直播间
推荐阅读
- 草根生活灶台现不明液体散发异味,细查竟是男友所为,安徽一女子回家做饭
- 睹图之后独自在小屋生活20年,女子因患精神疾病被丈夫和子女抛弃
- 考古学家@考古学家在江西考古,意外发现一座王侯古墓,墓中还有46位女子
- 「杜富国」女子因患精神疾病被丈夫和子女抛弃,之后独自在小屋生活20年
- 镇江@男子与小8岁的女子相亲1个月结婚,婚后4天妻子带着礼金消失
- 潇湘大视野落地后生了个葡萄牙籍儿子,老公满心欢喜,英国女子飞机上肚子痛
- 「宁波」好样的!宁波女子凌晨失足落水,外卖小哥横渡千米江面救人
- 排头扫描新郎3天后便去世,英国女子:我感到自豪,确诊癌症后火速完婚
- 「理赔」女子收到破损快递件,结果“理赔”了55万元…
- 国际人物志抓起枪就两人射击,女子下夜班回家撞见男友出轨
