90后年轻妈妈抠了一颗青春痘,结果要进行开颅手术!
医学诊断的过程 , 本质上就是一个寻找发现的过程 , 每一种致病因素在导致疾病的过程当中 , 就好像罪犯犯案一样 , 都会留下蛛丝马迹 , 需要医生仔细搜寻 , 严密思考 , 特别是在诊断一些罕见的特殊疾病的时候 , 其费神费力的程度 , 毫不逊于福尔摩斯 。
最近 , 浙大二院神经外科的医生们 , 就遇到了一个特殊的病例 , 当了一回“福尔摩斯” 。
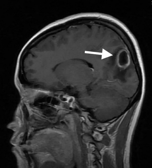
极为凶险年轻妈妈发现脑子里一个圆圆的病灶小鱼(化名)是一位28岁的年轻女性 , 有个3岁的女儿 , 一家人生活其乐融融 。 1个月前 , 小鱼开始出现头痛、头晕的症状 , 并且症状越来越重 。 家人陪她到当地医院检查 , 头颅CT和磁共振发现小鱼的大脑里藏着一个圆圆的病灶。 医生说 , 可能需要开颅手术 , 这可把大家吓坏了 , 听说浙大二院神经外科省内最好 , 小鱼和家人很快慕名而来 。 ![]()
文章图片
小鱼脑内的脑脓肿接诊的神经外科林邵奇医师详细询问了病史 , 查看了小鱼的磁共振片子 , 并向主管的陈景森副主任医师和严锋副主任医师汇报病情 。 “从片子上看 , 小鱼的大脑里确实潜伏着一个圆圆的病灶 , ”陈景森说 , “她得的是脑脓肿 , 这种疾病就像在人的大脑里面裹了一包脓液 , 十分凶险! ”
脑脓肿为颅内脓性感染病灶 , 可由细菌、分枝杆菌、原虫、蠕虫、真菌等引起 , 患者的症状及体征因脓肿的数量、位置及大小而异 。 每年每十万人中就有 0.3 到 0.9 人发生脑脓肿 , 对于艾滋病患者等高危人群 , 脑脓肿的发病率相当高 。
“从小鱼的片子上看 , 病灶体积大 , 周围还伴有严重的脑水肿 , 需要开颅手术切除病灶 , ”严锋副主任医师说 , “但是这个脑脓肿的始作俑者到底是什么 , 还是一桩“悬案” 。 ”
住院期间 , 医生们发现了个很特殊的情况:正常人的氧饱和度有100% , 而小鱼在吸氧的情况下 , 氧饱和度也只有85% 。
这个指标很惊人 , 因为正常人如果氧饱和度只有85% , 就是严重缺氧 , 可能会造成昏迷 。 比如正常人去西藏等高海拔地区 , 缺氧了就只能躺着了 。 但小鱼在85%的氧饱和度下 , 除了脓肿引起的阵发性头痛外 , 竟没有其它不适感 , 可以自己吃饭、洗衣、洗澡等 。
“这说明小鱼的身体已经对缺氧的状态非常‘习惯’了” 。 了解这一情况之后 , 严锋副主任医师觉得事情没那么简单:“她可能合并有其它的疾病 。 ”
抽丝剥茧发现隐藏20多年的疾病是罪魁祸首神经外科徐航哲主治医师进一步询问病史 , 小鱼终于说出自己从小就患有心脏病 , 但是对心脏病的具体情况一概不知 。 对此 , 医生们进行了进一步的检查 。
小鱼的检查显示:
胸部X片——提示心脏体积巨大 。
心脏超声——提示单心室 , 房间隔缺损 。
由此可见 , 小鱼还患有非常复杂的先天性心脏病。
当“破案”进行到这一步时 , 似乎有一些特别的线索出现了 。 先天性心脏病这一点 , 引起了主诊医生的警惕 。
“先天性心脏病会导致这位患者的血液循环和正常人不同 , 而正是这个不同 , 导致她比正常人更容易感染细菌 。 ” 严锋副主任医师说 。
发现真相感染的元凶可能是一颗顽固的青春痘严锋注意到 , 小鱼的脸上有一颗“青春痘”特别显眼 。 经过询问 , 小鱼说这颗青春痘已经有很长时间了 , 非常顽固 , 自己偶尔去抠一下 , 但一个多月了一直没好 。
“破案”到这里 , 这桩悬案的“元凶”很可能就是这颗痘痘了 。 严锋猜测 , 很可能是小鱼在挤痘痘的时候 , 痘痘里的细菌进入了血液 , 因为小鱼自身的特殊状况 , 细菌长驱直入 , 进入脑组织 , 继而引发了脑脓肿 。
经过充分的术前准备 , 陈景森和严锋在显微镜下为小鱼实施了开颅手术 , 将脓肿“连汤带壳”一并彻底切除 。
推荐阅读
- 好事儿娇娘|蓝河加码《脱口秀大会》,年轻文化现在都是这么玩的
- 电视剧|低音绅士王晰献声新剧OST《把一切给明天》登陆酷狗,为年轻发声
- 南京警方通报大学生多次偷外卖|年轻人你咋这样呢?南京警方通报大学生多次偷外卖
- 半夜食堂|宝宝夏天必喝的辅食汤羹,补水祛暑,鲜甜补钙,妈妈一定要收藏
- 赔偿|孩子被撞掉一颗牙 家长起诉索赔 河间法院调解并帮受害者要回赔偿
- 贡多齐|巴萨引援再瞄准中场?这次看中年轻后腰,或是神操作?
- 疫情之后,年轻人开始报复性存钱?东莞90后攒钱人数排全国第九
- 女儿|儿子半夜悄悄做宵夜,妈妈掐着饭点“蹭饭”,网友:和我女儿很配
- 杭州一年轻姑娘惊慌跑出厕所:“快!帮我看监控,有人偷拍!”
- 雷小厨美食|舅舅一家来做客,妈妈做了8个农家菜招待,网友:真富有
