山东商报|?31岁年轻妈妈突发脑梗半身不遂,医生反复追问丈夫还原真相

文章图片
一个工作日的清晨 , 31岁的章一(化名)被飞驰的救护车紧急送到了浙大二院急诊中心 。 抵院时 , 她已无法言语 , 右侧肢体也无法活动 。 陪同而来的丈夫告诉医生:清晨6点多 , 章一毫无征兆地摔倒在家里的卫生间门口 , 扶起来就已经“半身不遂” 。
平时身体十分健康怎么睡一觉就脑梗了?
【山东商报|?31岁年轻妈妈突发脑梗半身不遂,医生反复追问丈夫还原真相】接诊的急诊神经内科医生立即对章一进行了CT、抽血等一系列检查 。 CT血管造影显示:章一左侧大脑中动脉血栓形成 , 导致脑部该区域血流堵塞 。
检查明确 , 急性脑梗!情况十分危急 , 神经内、外科立即开通急诊绿色通道 , 以最快速度将章一送至手术室进行取栓手术 。
据丈夫和陪同而来的家属描述 , 章一平时身体十分健康 , 发病前一天也没有任何异常 , 怎么睡一觉醒来就发生了脑梗?
医生一边紧急做术前准备 , 一边也在寻找引发脑梗的“真凶” 。 除了糖尿病、肥胖、高血压等疾病外 , 脑梗塞与多种原因关系密切 。 临床上 , 健康的年轻人突发脑梗 , 多与外伤、脱水、血液疾病等有关 。
浙大二院神经外科曾救治过两例动脉夹层引发的脑梗塞 。 患者都是中学生 , 一位在跑步过程中剧烈甩头 , 从而引发了颈动脉夹层;另一位则是长期使用了颈椎按摩器 , 从而诱发了椎动脉夹层 。
章一的血检结果十分正常 , 完全排除了“三高”等常见诱因 。 “会是颈动脉夹层吗?”经验丰富的急诊医生脑中闪过了一个念头 。
“她受过外伤吗?”医生拉住了章一的丈夫询问道 。 “没有 , 她一直都好好的!”章一的丈夫语气十分果断 。
把握救治时间窗 术中发现证实猜想
脑梗取栓术有一个时间窗 , 一般要在6小时之内 , 最晚不得超过24小时 。 当急性脑梗塞发生时 , 把握救治时间是关键 , 必须争分夺秒地进行取栓 , 以挽救神经功能 。
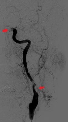
手术开始后 , 神经内、外科团队密切配合 , 神经外科许璟主任医师和凌晨晗主治医师为章一进行取栓手术 。 术中 , 章一的脑血管造影结果和术前CT血管造影一致:患者的左侧脑血管全部被血栓堵塞了!更令人惊愕的是 , 术中造影竟印证了医生的猜测:患者存在颈动脉夹层!
颈动脉造影:血管近端可见充盈缺损(下箭头) , 提示颈动脉夹层 , 远端血管(上箭头)因血栓堵塞而不显影 。
几个小时的奋战后 , 神经外科团队通过微创介入手段将章一颅内血管里的栓子一一取了出来 , 使血管再通 , 同时用颈动脉支架修复了颈动脉夹层 , 避免了后续可能发生的更大悲剧 。
取栓手术后(右图) , 颅内血管被打通后重新显影 , 颈动脉夹层被支架修复 。
颈动脉夹层是指颈动脉内膜撕裂导致血液流入其管壁形成壁间血肿 , 继而引起动脉狭窄闭塞或动脉瘤样改变 。 除了遗传因素外 , 颈动脉夹层和颈部损伤、猛烈咳嗽或喷嚏、举重/打球等剧烈运动相关 。
颈动脉通往颅内动脉 , 颈动脉夹层形成会不断产生血栓 , 血栓随血流进入颅内动脉 , 就会引发颅内动脉堵塞 。
反复追问揭开谜底 暴力致伤是“真凶”
术后 , 凭借影像学的铁证 , 医生反复追问 , 章一的丈夫终于承认 。 原来 , 在章一发病前5个小时 , 夫妻之间爆发了一次剧烈的争吵 , 冲动之下 , 控制不住怒火的章一丈夫动起了手 , 不仅扇了妻子一巴掌 , 甚至还掐了妻子的脖子 。 这些针对颈部的暴力动作极有可能对章一的颈动脉造成了伤害 , 从而诱发了凶险的颈动脉夹层 。
真相环环相扣 , 谜底终于揭开:外伤导致的颈动脉夹层诱发了血栓 , 脱落的血栓随着血流冲入颅内动脉 , 从而引发了致命的脑梗塞 。
庆幸的是 , 送医及时、治疗及时 , 经过手术和20多天的住院康复治疗 , 章一出院了 , 没有明显的后遗症 , 神经功能基本恢复 。
不经意的动作和外力影响 也可能对脑血管造成伤害
一日夫妻百日恩 , 家庭暴力严重危害身心健康 , 必须坚决杜绝 。 同时也要注意在日常生活中 , 一些不经意的动作和外力影响 , 也可能对脑血管造成伤害 。 并且 , 健康的年轻人 , 也会发生脑梗 。
如何更好地保护脑血管?除了避免外力因素外也要定期体检 , 及时发现身体疾病信号 , 一旦出现脑梗症状 , 必须立即就医 , 把握黄金救治期 。
剧烈运动时 , 避免外力击打或拉伸颈部;尽量不要猛烈咳嗽或打喷嚏;避免不科学的颈部按摩;一旦出现意识丧失、半身不遂、言语障碍、感觉障碍等脑梗的典型症状 , 立即就医 , 以免错过宝贵的治疗机会而抱憾终生 。
同时 , 有 “三高”病史 , 心脏病及脑卒中家族史 , 肥胖又不运动及抽烟喝酒、高盐高热量饮食等不健康生活方式的高危人群 , 可以在每年一次的体检中增加颈动脉B超、头颅磁共振 , 或必要时加做磁共振/CT血管造影等额外项目 , 定期监控脑血管的健康状况 , 接受及时有效的治疗 。
推荐阅读
- 山东|每人两年至少60万元资助!2020年度“山东博新计划”等你来申报!
- 考生|2020年山东省省属事业单位初级综合类岗位笔试温馨提示
- 山东|权威发布丨行进平稳、稳中有升!山东省属企业2020年上半年经济运行情况发布
- 德国| 山东与德国:有着长久历史的经济伙伴
- 山东|韧性十足!山东经济加速回暖驶向“快车道”
- 调整|山东省2020年继续调整退休人员基本养老金,预计7月底到位!
- 求职|中国海洋人才市场(山东)首场现场招聘会7月22日启动
- “奇葩”老司机!9年驾龄,高速上全程一档从江苏开到山东…
- 招生|青岛理工55个专业(类)招生 面向山东本科招生计划3842人
- 我国最大规模5G智能电网建成|我国最大规模5G智能电网建成 位于山东青岛缓解5G运营最大难题
