健康|吓人!男子左肝被"掏空",壁上布满虫卵!罪魁祸首竟是…
【健康|吓人!男子左肝被"掏空",壁上布满虫卵!罪魁祸首竟是…】本文专家:王思露,国家高级食品检验师,中华人民共和国HACCP食品体系内部审核员
每到周末或者节假日
和家人、朋友聚在一起
总少不了各种各样的美食
而在众多美食中
其中有一道菜
深受很多人的喜爱
不仅味道鲜美
而且营养丰富
那就是酸菜鱼
但就是这道最普通的家常菜
最近却惹了“大麻烦”
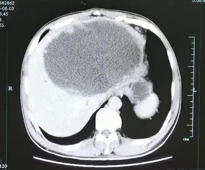
杭州的谢师傅
由于进食了
未完全加热成熟的酸菜鱼
而感染了“华支睾吸虫”
文章图片
推荐阅读
- 常州男子因情感纠纷砖头砸死女子|常州男子因情感纠纷砖头砸死女子 女子被砸死原因曝光场面血腥!兰陵银河湾电脑城杀人案始末
- 防控|新学期,副中心校园里来了“卫生健康副校长”
- 青岛北仲路第二小学|护航师生安全健康 青岛北仲路第二小学迎接秋季开学
- 杀人案|常州男子因情感纠纷用砖头砸死女子,监控画面令人愤怒!
- 累犯|辽宁男子“三进宫”后当上城管队长,又犯三宗罪被判四年六个月
- 男子把它当茶喝,每天2斤半!结果脖子比头还大,切下七八斤脂肪…
- 辽宁男子三进宫后当上城管队长|辽宁男子三进宫后当上城管队长什么情况?具体详情曝光令人愤怒
- 猥亵|女学生遭男子猥亵殴打,他出手了!
- 健康|尴尬又难治,让日本首相辞职两次的病到底有多凶猛?
- 女学生遭男子猥亵殴打,他出手了!
