癫痫|常感莫名恐惧?肚子有股“仙气”? 可能是颞叶癫痫哦!
广东省第二人民医院神经外科 权威科普
许多人对癫痫的认识还停留在“口吐白沫 , 抽搐”这样一些症状 , 殊不知癫痫发作不止是抽搐、意识丧失 , 还有很多发作形式 , 比如愣神、无缘无故闻到异常气味、突然不知身在何方、或者往事如新感等 。 这些发作形式 , 都与一种最变幻莫测的癫痫——颞叶癫痫相关 。 本期《脑科在线》要给大家介绍的发作形式是——莫名恐惧 , 肚子有股“仙气”......
莫名恐惧 , 曾被误以为“精神病”
今年32岁的陈先生(化名) , 从18岁开始经常突然觉得莫名其妙的恐惧 , 这种恐惧的出现不分白天黑夜、不分场景 。 然而具体害怕什么?陈先生自己也说不上来 , 并且在害怕的时候 , 感觉到肚子里有一股“仙气” , 像是要从肚子里面往喉咙涌出 , 不吐不快!陈先生感动非常懊恼 , 曾经在当地医院就诊 , 医生就“精神病”、“癫痫”进行治疗 。 在这很多年间 , 陈先生同时服用抗精神病药物和多种抗癫痫药物 , 但情况并无好转......
真正“元凶”竟是颞叶癫痫
今年 , 陈先生来到广东省第二人民医院神经外科 , 找到癫痫门诊林劲芝副主任医师求医 。 林主任详细询问了病情 , 发现陈先生除了这种奇怪的感觉以外还会伴有嘴巴不自主咀嚼、手脚僵硬和抽搐的症状 , 初步判断陈先生是得了颞叶癫痫 , 而非“精神病” 。

本文图片
林劲芝
副主任
莫名恐惧 , 肚子里有一股“仙气” , 对于陈先生所描述的症状 , 其实是颞叶癫痫里面很常见的表现 , 医学上称为莫名恐惧感 , 以及腹气上升感 , 是颞叶内侧型癫痫的典型临床表现 。
下一步的重点是需要更多针对性的检查来证实 , 并判断癫痫是来源于哪一侧 。 为进一步明确诊断 , 林主任为陈先生安排了长程视频脑电图、神经心理监测、头颅癫痫序列磁共振以及头颅PET-CT检查等 。
通过视频脑电图检查发现 , 陈先生在发作间期(没有不适感时)脑电图表现为双侧侧颞叶内侧有癫痫样放电 , 而在发作期(有上述表现时)脑电图监测到 , 癫痫发作是起源于右侧颞叶内侧 , 然后再传到左侧 , 就像电信号传播一样 。

本文图片
头颅癫痫序列磁共振:右侧海马萎缩并硬化

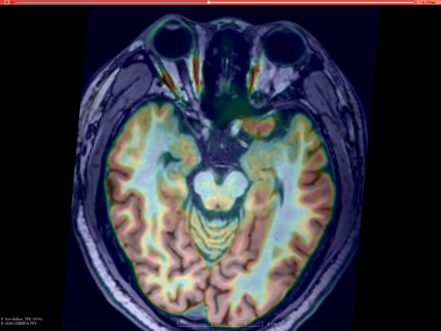
本文图片
头颅PET-CT&MRI融合:右侧海马代谢降低
抓住“元凶” 精准切除
通过详细检查 , 林主任最后明确患者不是精神病 , 而是右侧颞叶内侧型癫痫 , 患者的致痫病灶位于右侧颞叶内侧结构(海马、杏仁核等) 。

本文图片
就是说患者的癫痫是起源于右侧颞叶的不正常结构 , 就像骚扰电话一样 , 首先要人乱拨打(癫痫起始放电) , 其他人的电话才会接到(癫痫传播发作) , 只要把这个乱打电话的人抓起来 , 骚然电话就自然消失啦!所以 , 我们只要把有问题的右侧颞叶及内侧结构(包括海马、杏仁核和颞极等)精准的切除 , 癫痫的控制将会得到非常好的效果 。
得知原来自己不是“精神病” , 陈先生喜出望外 。 遵循医嘱 , 陈先生逐渐停用了“精神病”药 , 并且成功的实施了右侧颞叶及内侧结构切除术 。
推荐阅读
- 没买东西,3人莫名被转走近10万!4人被儋州警方刑拘
- Windows操作系统|软件莫名崩溃 Win11即将推送补丁修复Bug
- 吃了减肥药莫名兴奋?有毒!贵州已300多人成受害者
- 南充一男子怂恿患癫痫妻子服药自杀,涉故意杀人罪近日将受审
- 癫痫|男子突发癫痫住院!医生在大脑中发现绦虫:已存在数十年
- 浦发银行|正在排查,已报案!浦发银行回应近3亿存款莫名被质押
- 企业动态|上市公司2.95亿存款被莫名质押:公司内部毫不知情、已报案
- 皮肤病|身上莫名长出的"小揪揪" 皮肤病还是HPV感染了?这篇文章全说清了
- 火灾|河南一村庄数户人家一月内莫名着火十几次 专家:可能是“鬼火”
- 一女子遇到“天降的馅饼”!没下单却莫名其妙收到数十个包裹……
