为什么别人略施粉黛就皮肤白皙光滑,你浓妆艳抹也遮不住脸上的痘印?
别人的痘痘是阶段性长痘,而你的痘痘野火吹不尽,春风吹又生;
青痘痘就像个无底洞,长了一颗就会有第二颗第三颗,痘根一旦形成,便“永无止境”……
那痘痘为什么会在同一个地方反复的长呢?在长痘和处理痘痘的过程中,很多人又都会陷入怎样的误区?
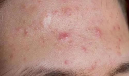
为什么在同一个地方反复长痘?
1、炎症未消
有的痘痘你以为把它解决了,但其实它并没有结束。痘痘是皮肤自身的炎症反应,表面看起来已经消下去了,但是真皮层下炎症还在继续。特别是一些重度的痘痘,皮下形成硬结或囊肿的,稍不注意,痘痘便会反复再长。
文章插图
2、屏障受损
第二个原因就是皮肤屏障受损,有的痘痘虽然是真的好了,但这个区域的皮肤结构已经受到一定损伤,或者角质异常,容易堵住毛孔开口,或是皮肤屏障变脆弱,细菌容易入侵。这个区域就像一堆干柴,一有火星,就会燃烧起来,痘痘就卷土重来。
易陷入的误区:
1、长痘是正常现象,无需管理医治
痘痘的诱发机制复杂。除内分泌、皮质分泌、免疫、遗传等因素外,它与生活习惯、环境、精神、情绪等也有很大关系,任何一方面都可影响加重病情,形成恶性循环。
2、裸肌可控油、不适用防晒霜、常用磨砂膏收敛水、抠挤好得快……
● “裸肤”会加剧皮肤水分流失,反而刺激皮肤分泌更多油脂。
● 超负荷的紫外线会导致角质新陈代谢混乱,引起毛孔堵塞。或使痘印痘痕加深。
● 磨砂膏和收敛水会过度刺激表皮,影响皮脂腺的分泌功能,使肌肤变得敏感。
● 不当抠挤可发生二次感染,或造成皮下瘀血及色素沉积,产生痘印痘坑。
● 过度清洁会破坏皮肤天然屏障,细菌更容易入侵,反而更容易长痘。
3、滥用药物,如激素药等
激素类去 痘其实很常见,但痕容易损伤皮肤,形成依赖性。长期使用可破坏皮肤、导致过敏、形成激素脸等严重后果,因此,提醒一定要慎重使用激素类药物。
文章插图
【为什么“痘痘”在同一位置反复长?这个原因要知道】如果小编分享的内容对您有帮助,欢迎收藏关注或者分享给身边的人。若是您还有更好的建议,可以在下方留言评论,希望可以帮助到更多的朋友,同时感谢您的阅读与分享。
推荐阅读
- 蒋勤勤|琼女郎蒋勤勤:年轻时美若天仙,46岁却让网友感慨“女神已老”
- 朴信惠|重磅闪光弹!朴信惠放“嘴对嘴亲老公”婚纱照,幸福磨鼻子
- 白梦妍|白鹿被媒体评”年度最佳好感艺人“,人美歌甜还幽默,宝藏女孩啊
- 罗云熙|罗云熙出道11年,颜值在线的他为什么迟迟不火?
- 秋瓷炫|无奈!丈夫被爆“出轨”,秋瓷炫大度原谅,现今却当众大哭
- 穿搭|打底裤已经“失宠”!今年冬天流行这三种裤子,时髦的女人都在穿
- 尹天照|“况复生”张国权:认尹天照万绮雯为干爹干妈,25岁迎娶美娇娘
- 陈丽华|“唐僧”迟重瑞的妻子陈丽华:我的家规有多严,你根本意想不到
- 张天爱|李冰冰的“连环情史”,和她背后的5个男人
- 金像奖|金像奖提前看!谢霆锋有望夺“影帝”,巩俐被视为影后最佳人选
