99%的女生显胖不是因为体重增加,而是脂肪在身体的比例占得太多( 四 )

腰臀比太大
腰部和腹部的那一坨坨的肥肉,从视觉上让你看起来粗壮很多!
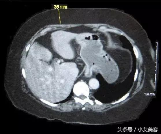
我们来看下面这个腹部CT图片,这是平常人的腹部剖面图。

下面是肥胖者的腹部,可以看到黄色虚线表明的地方足足有3.6厘米厚的脂肪。

这一圈脂肪对女人的形象有怎样的影响?
看看下面这张图,直接从性感女神变成猥琐大婶

腰粗屁股大,就是咱们常说的苹果型,也是亚洲女性最常见的肥胖类型。

推荐阅读
- 张学友|1995年,一场《宝丽金25周年演唱会》,看尽香港歌坛的辉煌和江湖品级
- 女生|小个子女生别只穿打底裤了,九分牛仔裤才是衣橱必备,配短靴超美
- 我的99分男友|王思聪直播首秀太火爆,被网友礼物霸屏显尴尬,无奈下线引发热议
- 时髦|小个子女生穿大衣掌握这4点精髓,显高显瘦又时髦,美得高级
- 气质风|女生都拒绝不了的9套搭配,温柔又气质,个个都很实用
- 用力过猛|穿羽绒服=显胖10斤?日本博主教你这样穿,让你焕然一新时髦显瘦
- 谢娜|童锦程约4个女生游三亚,众美女花样秀身材,童锦程直言上火了
- 阔腿裤|小个子女生穿大衣掌握这4点精髓,显高显瘦又时髦,美得高级
- 华语乐坛|30年前的1992,影响华语乐坛的是这8支不一样的组合
- 刘亦菲|刘亦菲活动生图曝光,大长腿到隔壁女生腰部,西装干练如同女强人
