中国男女光棍超2亿,80%女性主动选择单身( 五 )

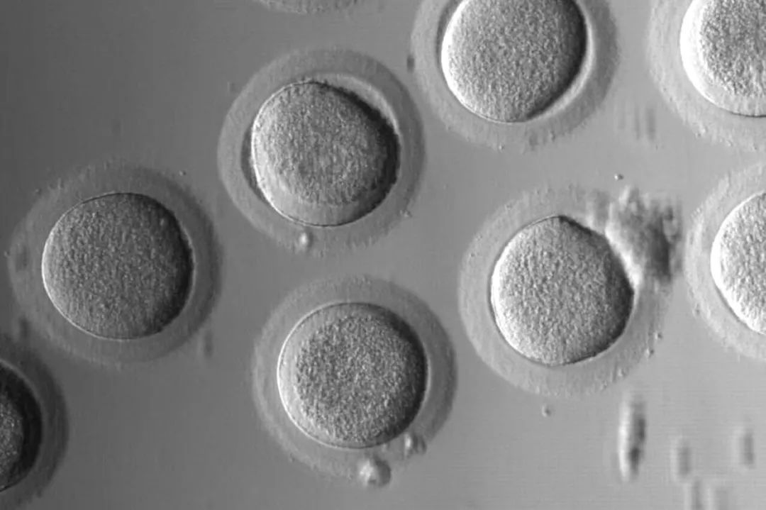
显微镜下的卵子30岁冻卵后 , 我跑去国外念书了赖小姐 / 台湾读研留学生现年37岁 / 冻卵年龄29岁冻卵 , 是我妈给我的30岁生日礼物 。我妈以前在国外留学 , 回台以后在外商公司当主管 , 她部门很多同事都是晚婚的高龄产妇 , 她看她们求子很辛苦 , 有的还要做试管 , 她不希望我以后也这样 , 就主动上网去查很多资料 , 说要带我去冻卵 , 当30岁生日礼物 。29岁那年我决定去英国深造 , 想要念个博士回来 , 我估计这需要花我5年时间或是更久 , 可能毕业回来都已经35岁了 , 所以我妈在我出国的半个月前 , 带我来做疗程 。幸好我妈送我这份“礼物” , 如果没有先冻卵 , 真的不知道以后怀孕 , 会不会遇到更多困难 , 也是因为这样 , 我去英国念书的时候也更安心 , 至少别人问我说 , 你都要30岁了 , 还不准备结婚生子 , 跑去国外念书干嘛的时候 , 我可以说我已经冻卵了 , 不需要担心 。“为了冻卵 , 我跳槽了”马小姐 / 吉林日本上班族现年38岁 / 冻卵年龄38岁我在日本生活已经有13年 , 几年前我就想过要冻卵 , 但冻卵一次要花14天 , 日本公司不可能给我请这么久的假 , 所以一直没做 , 直到今年我跳槽了 , 我跟新老板说 , 一定要给我休假去冻卵 , 结果他很支持 , 立刻就答应 。我一次性取了32颗卵子 。 这件事我没让家人知道 , 你要跟老一辈的人解释那真是太费劲 。 在我想法是说 , 女人要怀孕生小孩 , 这辈子才算完整了 , 但不公平就是 , 女人的生育年龄是有限的 , 所以我才会觉得说 , 趁现在卵子质量还行做冻卵 , 至少以后遇见对象了 , 不会去说已经过了生育时间 。我不要等到我遇见一个我爱的人 , 但我想为他生孩子却没机会 , 到那时心里的苦才是真正的苦 。
处理冻卵试管其实最早“冻卵”技术用于临床 , 是为了癌症:癌症患者接受治疗之前 , 先冷冻卵子 , 以免治疗过程中破坏卵巢功能 , 影响后续生育 。直到现在 , 冻卵技术在很多国家 , 仍旧有着严格的应用条件 。 大部分国家还是只把冻卵作为医学上的一项治疗措施 , 而不是人人可选择的选项 。中国大陆目前禁止单身女性冻卵 。 即便已婚 , 想要冻卵 , 必须三证齐备——结婚证、身份证、准生证 , 而且被确诊患不孕不育症 , 才能进行 。 这曾经令徐静蕾气得发文:“有种生物叫单身女性!”有人说 , 冻卵是晚婚晚育的解药 。心理层面上 , 冻卵后 , 不少女性“安心”了 。 医生们发现 , 大多数冻完卵的人 , 都是心里踏实、充满自信地离开诊所 。不再担心自己分手了找不到男友、不再担心自己还没结婚、不再担心自己年龄一天天变大 , 未来再也生不了小孩 。目前美国冻卵费用约10000到15000美元 , 约7万到10万人民币;香港费用是6万到8万 , 台湾冻卵费用大概3万人民币 , 每年再加上几千元的保存费 , 价差主要来自当地生活水平和医护人员薪资、劳力等 。 海外冻卵也要将机票、住宿等开销一并考虑 。
然而 , 这些冻卵里 , 有多少能真的成功变成小孩?在台湾地区 , 人工生殖法规定 , 如果要解冻卵子使用 , 必须有合法婚姻关系作为前提 , 单身女性不能进行解冻做试管婴儿 。 所以 , 尽管冻卵的人数逐年增加 , 但真正解冻卵子并受孕的比例只有3% 。在英国 , 冻卵成功解冻并受孕的比例是8% 。 在美国 , 85%以上的冻卵女性 , 从未复苏过她们的卵子 。 而目前 , 冻卵成功受孕的概率 , 低于试管婴儿 。因此 , 有人说冻卵最大的意义 , 其实是赋予了女性自由 。单身不必抱歉 , 祝所有单身女性活得自在 。
推荐阅读
- 从海外引种到中国的果蔬类植物
- 我在美国治痛风——颠覆全部中国概念
- 光刻机,中国能造吗?
- “签证禁令”下的中国赴美留学生:担心随时被驱逐
- 中国日报网|中建二局一公司蒙城皖新项目开展“关心儿童,阳光成长”活动
- 特朗普想借G7峰会搞“小圈子”针对中国 不得人心
- 中国新闻网|“00后”励志女孩陈雨欣:愿“一条腿也能走遍天下”
- 为什么不赞成“赤字货币化”,中国和美日不同
- 中国之所以能成为世界工厂,需要感谢一个国家
- 美大豆出口协会中国首代:中企已购入美国大豆
