衰弱|皮疹,心力衰竭,肾功能不全,嗜酸性粒细胞增多:一例高龄衰弱老年患者( 二 )
2.2 放射科
根据胸腹部CT影像分析:患者双肺弥漫肺气肿、多发肺大泡,结合患者年龄及既往长期吸烟史,考虑基础存在慢性阻塞性肺疾病;双肺散在索条影伴钙化灶,考虑为陈旧性结核灶;同时阅片可见,双侧胸腔积液,双下肺部分膨胀不全,两肺门、纵隔、双侧腹股沟多发淋巴结,部分饱满,心影增大伴主动脉及分支多发钙化。
2.3 皮肤科
EOS是一种分布于全身脏器及皮肤的多功能粒细胞,在机体免疫防御和组织损伤等方面具有重要作用。多种因素可通过增加EOS 的产生、募集及存活使其增殖并浸润各种组织,使得EOS 浸润广泛发生于多种皮肤病。
EOS 浸润引起的相关皮肤病主要症状为多形红斑、斑块、结节等,常伴瘙痒,由于缺乏特异性,临床上常常易被忽略或误诊。皮肤组织病理多见真皮浅中层血管周围慢性炎症细胞浸润,以淋巴细胞和EOS为主。该患者皮疹符合上述表现,结合其EOS皮疹+相关脏器受累,可诊断高嗜酸粒细胞增多综合征、肾前性容量不足。
综上,考虑慢性肾功能不全基础上多种因素参与急性肾损伤,目前HES肾脏受累证据不足,不能完全除外。肾活检对于指导原发病治疗的意义相对有限且风险极高,风险/获益比不佳,不作推荐。容量管理应量出为入,在呼吸和循环情况允许的前提下审慎利尿。
2.6 风湿免疫科
该患者以EOS明显升高为主要特点,伴多系统受累,相关自身免疫指标,无哮喘史、神经系统病变等,目前嗜酸性肉芽肿性多血管炎证据不足。患者为高龄老人,基础脏器功能储备差,不除外EOS升高进一步加重心脏、肾脏等重要脏器损害。HES对激素治疗敏感,可予小/中等剂量激素以降低外周EOS浸润,必要时可加用免疫抑制剂巩固治疗。
2.7 血液内科
根据《嗜酸粒细胞增多症诊断与治疗中国专家共识》[1],外周血EOS绝对计数>1.5×109/L诊断为HE,如伴有器官损害提示HES。
HES可分为以下几类:髓系HES、淋巴细胞变异型HES、重叠型HES、继发性HES、家族性HES以及特发性HES。该患者已完善相关检查,回报结果均无髓系HES提示。脏器评估方面,考虑患者基础存在心脏病变可能,HES可进一步加重心力衰竭,需进一步除外继发因素。
HES治疗方面,泼尼松是绝大多数HES的一线治疗药物,结合患者年龄,可选用中等量激素[0.5 mg/],治疗有效后即可开始逐渐减量。若泼尼松减量过程中出现EOS数值反弹,届时结合前述检查结果,必要时可考虑加用伊马替尼或其他二线药物治疗。
3 第一次多科讨论后处理
经完善相关检查及老年综合评估,考虑HES,皮肤受累,心脏受累可能,肾脏受累不除外;同时合并慢性阻塞性肺病、慢性肾功能不全、周围血管病变,老年综合评估提示存在衰弱、肌少症,营养不良,以及波动性认知功能障碍。
2019年5月1日起加用泼尼松25 mg×1次/d,5月8日起加用雷公藤10 mg×2次/d。治疗后复查EOS计数进行性下降[×109/L],治疗1周后全身皮疹逐渐消退,局部遗留色素沉着。
心力衰竭方面,控制入量1000~1500 ml/d,予间断利尿,倍他乐克6.25 mg/d,间断行右侧胸腔置管引流胸水,引流后患者胸闷、憋气症状明显减轻。
肾脏方面,入院后血肌酐波动,谨慎利尿并予保证入量,监测肾功能好转。
营养方面,予肠内营养液200 ml/d、营养粉8~12勺/d营养支持。
患者5月10日出现夜间谵妄,表现为烦躁、易激惹,定向力差,查血钠152 mmol/L。考虑谵妄与高钠血症相关,予适量增加经口饮水量后,血钠水平下降,意识状态较前改善。之后仍间断出现谵妄,表现为夜间躁动,日间淡漠,时间、地点定向力差。
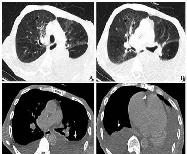
患者5月19日起咳嗽、咳痰较前加重,5月20日出现低氧血症,胸部CT提示双肺磨玻璃样渗出影。故为进一步诊治提请第二次多学科讨论。
文章图片
A、B.肺窗表现;C、D.纵隔窗表现
4 第二次多学科讨论
4.1 老年医学科
患者入院加用糖皮质激素和免疫抑制剂,EOS降至正常,皮疹消退。血肌酐及尿素氮曾一度下降。
但新近出现低氧血症,复查胸部CT提示新见双肺弥漫性磨玻璃影、胸水增多,考虑继发卡氏肺孢子菌感染不能除外。同时,老年综合评估提示存在衰弱、肌少症,营养不良及波动性认知功能障碍,均预示预后不良。
衰弱是一种重要的老年综合征,神经肌肉、代谢及免疫系统方面生理储备能力的衰退,使老年人对抗应激的能力下降[2]。
待多科讨论并指导以下诊疗:肺部感染的治疗方案;高龄、衰弱老人的个体化治疗。
4.2 呼吸内科
HES常见肺部受累表现为嗜酸性粒细胞性肺炎,影像学可见游走性渗出影,实性或磨玻璃样病变,沿支气管或胸膜下分布,本质上为EOS肺泡腔内浸润所致。该患者无典型的HES肺浸润表现,主要表现为双上肺陈旧性肺结核钙化灶,全小叶性肺气肿,提示该患者呼吸储备功能差。
近期新出现低氧血症,对于高龄、免疫抑制状态的老年患者,需警惕合并机会性感染,结合双肺新发磨玻璃样渗出影的影像学表现,考虑卡氏肺孢子菌肺炎可能性大,总体预后很差。
患者对磺胺过敏,激素治疗期间无法完成磺胺脱敏,应经验性予抗肺孢子菌肺炎二线治疗方案,暂维持目前激素用量,根据病原学结果调整治疗方案。
推荐阅读
- 患者需|心衰比癌症更可怕?慢性心力衰竭患者牢记这7点,“防患于未然”
- 大城看社会|隔壁邻居在做主播,每天半夜狼哭鬼嚎,大妈被吵得快神经衰弱
- |年轻小伙患上神经衰弱情绪沮丧 三医专家支招恢复健康
- 快乐的小大夫|出现哪些表现可能是神经衰弱?要想远离它,自己是关键
- 过敏|有人对水和阳光过敏!咱青岛最常见的过敏原是……
