睹图|女子做完手术后被要求核酸测试,结果拭子进肺里又做手术取出

文章图片
文章图片
自从今年新冠肺炎流行以来 , 世界上大部分的人都接受了冠状病毒测试 , 但这项常规测试可能引发意想不到的事故 。 英国一名患者在接受测试时 , 拭子发生断裂 , 直接掉进了她的肺部 。 还好及时得到诊治 , 没有危及生命 。
据外媒10月16日报道 , 这起事故发生于英国莱斯特大学医院 , 不幸遇到此事的是一名51岁的女子 。
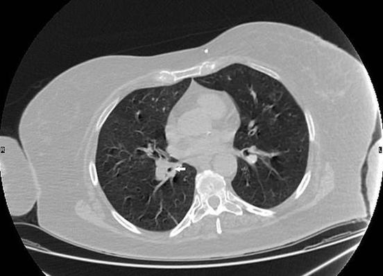
前不久 , 这名女子接受了头骨部分切除术和气管切除术 , 但在出院并前往疗养院前 , 她被要求进行冠状病毒拭子测试 。 当时她还处于恢复期 , 被医生禁止使用鼻子或嘴部进行呼吸 , 只得依靠医疗管接受氧气供应 , 所以护士没有将医棍塞进她的鼻腔测试 , 而是改为咽喉部位 。 然而发生了意想不到的意外 , 医护人员使用的拭子不小心发生断裂 , 直接进入了她的肺部 。
她被立刻送去接受X光检查 , 但医生无法看到断裂的拭子在哪里 , 只能发现她的右肺部有些肿胀 。 于是 , 医生们决定将一个微型摄像头伸入到她的肺中 , 以帮助找到拭子的具体位置 , 再使用设备进行手术将其取出 。
这则病例很快在《英国医学杂志》上被重点报道 , 作者在报告中写道:“目前还没有关于这类患者应如何接受检测的方法 , 也无法得知冠状病毒会如何在这类患者的体内分布 , 特别是对于那些接受过上呼吸道被排除的患者 。 ”
作者还补充说:“这则病例真实地说明了从气管切开部位采样黏膜拭子的潜在危险 , 所以对于这类患者 , 医护人员必须穿戴完整的个人防护装备 , 避免发生人为错误的可能性 。 ”
对于这起医疗事故 , 很多网友发表了自己的看法 。 有人质疑做检测的医护人员 , 是否在测试时违反基本操作 , 太过用力才导致拭子断裂 , 希望医院能再仔细规范工作人员的行为 , 避免还有患者遇到这种事情 。
同时还有网友表示 , 幸好这名老妇能够及时得到救助 , 因为她刚接受了大手术 , 正在恢复当中 。 万一发生了意外 , 她的致死原因实在令人难以接受 。
据了解 , 这名老妇已经不是第一个因为冠状病毒测试受伤的患者了 。 美国一名40岁妇女在爱荷华大学医院接受了两次冠状病毒拭子检查后 , 她开始发生呕吐、头部剧痛、脖子僵硬、害怕强光、身上出现金属味的症状 , 鼻孔还冒出了不明液体 。
当她向医生求助时 , 被告知她的颅底发生穿孔 , 导致脑脊液从鼻子里漏出来 。
【睹图|女子做完手术后被要求核酸测试,结果拭子进肺里又做手术取出】根据发表耳鼻喉科-头颈外科杂志上的研究表明 , 如果拭子试验进行得过于粗暴 , 这种情况会变得更严重 。
推荐阅读
- 交巡警|渝北一女子误上机场路,危急情况下民警及时出现护送其安全到家……
- 半岛晨报|女子机场打车,之后发生的一幕,怒了!
- 海峡消费报社|天津27岁奇女子洗浴消费2000多,结账时没钱,想留下衣服抵押
- 鲜闻快讯|美30岁女子靠“大嘴”走红,每条视频赚10万,9厘米长唇欲挑战吉尼斯
- 贵阳晚报|一女子3年内结离婚28次,结果惨了……
- 半岛晨报|女子发了一条朋友圈,交警:罚1000元!
- 海峡消费报社|女子去银行给新车装ETC,银行的话让她震惊,车牌欠费9万多
- Dang|越南华裔女子洛杉矶开美甲店 靠品质取胜
- 才知|女子和小16岁男孩网恋5年,见面才知是“爸爸”,扎心了
- 又见高铁霸座女子让座反被骂|又见高铁霸座女子让座反被骂怎么回事?详细经过曝光令人气愤
