上回的“心脏说明书”
讲了讲心脏的门、墙、水管、电线和心脏的收缩力 。
文章插图
——有人会问:“人心隔肚皮” , 我们又看不见 , 如果心脏出了问题 , 我们怎么把它搞清楚呢?
——那就要借助辅助检查的手段 , 比如超声、X片等等 , 就像探矿机一样 , 能探测心脏和心脏的内部 。
所以这回我们来说说 , 想要了解我们的心血管有没有问题 , 到底该检查什么呢?
门、墙壁、房间——
文章插图
这些都属于房子的结构
以上这些可以通过心脏超声波来检查 。
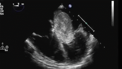
***心脏超声波
文章插图
首先看一看“门” , 也就是瓣膜 , 有没有坏掉 。
门是大是小?打得开吗?关得拢吗?
门上有没有乱七八糟的东西 , 比如赘生物?
然后看一看“墙壁” , 也就是心肌 , 有没有问题 。
墙壁厚不厚?薄不薄?有没有不均匀?有没有洞?
再看看墙壁组成的“房间” , 也就是心房和心室 , 有没有问题 。
房间会不会太大或者太小?
房间里有没有长奇怪的东西 , 比如血栓 , 或者肿瘤?
文章插图
↑椭圆形、跳动着的就是心脏粘液瘤哦!
房子不会动 , 但我们的心脏是会活动 , 收缩和舒张的功能也要考察 。
心脏超声也能检查:收缩的顺序对不对?收缩的力道够不够?对称不对称?
文章插图
***除了心脏超声波之外 , 还可以通过心脏核磁共振来检查 。
文章插图
文章插图
↑非常美丽的心脏核磁共振图像
电路
文章插图
电灯不亮了?电灯乱闪了?
心脏跳得太慢了?跳得太快了?跳得太乱了?可能是电线 , 也就是心脏的生物电系统出了问题!出现了心律失常!
那该做什么检查呢?
***心电图
文章插图
心电图这项检查大家都很熟悉 , 应用很广泛 。
但是经常有病人跟我说:崔医声 , 我心慌 , 去医院检查 , 可是到做心电图的时候 , 这感觉又好了 , 心电图做出来也是正常的 。
心脏电路的问题可以分为“阵发性”和“持续性”两种 。
心电图 , 只能看到“即刻”的情况 , 它只能抓到“伸着手的小偷” , 也就是心脏电路一直出问题能抓到 , 或者正好出问题的时候也能抓到 。 ——那该怎么办呢?
——可以做Holter 。
***Holter
也就是动态心电图 , 一般可以做24h-72h的心电图 。 这样就可以“抓”一整天!
可万一小偷一整天不伸手 , 也可能抓不到 。
文章插图
对于一些高危的心律失常病人来说 , 可以住院、带上心电监护 。
如果有必要进一步检查的话 , 就要做一些“创伤性”的检查了 , 包括心脏电生理检查、植入式心电监测系统 。
水管
推荐阅读
- 医聊室|听说心脏病可根治?滨州市人民医院医生这样说
- 乳腺癌幸存者的研究,吃啥能防乳腺癌
- 得了乳腺癌,她为何不愿去治疗
- 国寿核保之声|得了胰腺炎该如何买保险
- 教你读懂心电图报告
- 医生提醒:女性要是出现这四种情况,就是得了妇科病,须及时治疗
- 得了冠心病,如何才能长寿?医生说:这3点很重要
- 甲状腺发炎,这是一个什么疾病?得了怎么办?
- 肝脏|肝区不舒服,一定是得了肝癌?
- 一家七口全患癌!警告:得了这5种癌症,可能“遗传”给下一代
