文章插图
跑跑路胸口闷?胸口痛?那可能是水管 , 也就是心脏的血管 , 堵住了 。
供应心脏血液最重要的血管就是冠状动脉!那该怎么检查呢?
***心电图
最简单、最快的就是心电图 , 如果心电图上能看到“心肌缺血”的表现 , 就能推测是不是血管堵住了 。
但就像前面说的 , 心电图的缺陷就是只能看“即刻”的情况 , 而心脏缺血的情况可能不是每时每刻都发生的 。
文章插图
——缺血不发生的时候可以做什么检查呢?
***负荷心电图
负荷心电图 , 有平板运动试验和踏车试验 。
身上贴上电极片 , 一边运动一边做心电图 , 看看心脏在“负荷”(有一定的压力)的情况下会不会缺血 。
文章插图
***心脏放射性核素显像(SPECT)
这个方法就是在体内用一点同位素(可以标记你的血液) , 让它们在一张图上显现 。
如果心肌不缺血的话 , 那么标记过的这些血液充满了心肌 , 整个就是红色的 。
如果心肌有一部分是缺血的 , 那就变成黑色了 。 可以看看心肌的血够不够用 。
文章插图
但是!!!负荷心电图和SPECT都是推测性的 , 能看到心肌缺血 , 但到底是大血管还是小血管堵住了并不能明确 。
——怎么能看到血管里面的情况呢?
——那就要做“造影” 。
***冠状动脉CT造影
冠状动脉CT造影 , 又称冠脉CTA 。
CT大家并不陌生 , 冠状动脉CT造影就是做CT的时候往血管里打造影剂 , 让冠状动脉“显影” , 再经过计算机处理 , 重建出图像 , 来看看血管有没有狭窄 , 这是没有创伤的 。
但CT有时候会受一些因素的干扰 , 比如心率 , 血管钙化的情况等 , 影响图像的质量 。
冠脉CTA对阴性的预测价值更高 , 适合于筛查 。 也就是说:做出来是好的 , 那一定就是没问题的;但如果做出来不好 , 具体狭窄多少?严重程度如何?答案没有那么的确切 。
文章插图
这个时候就要通过冠状动脉造影来检查!
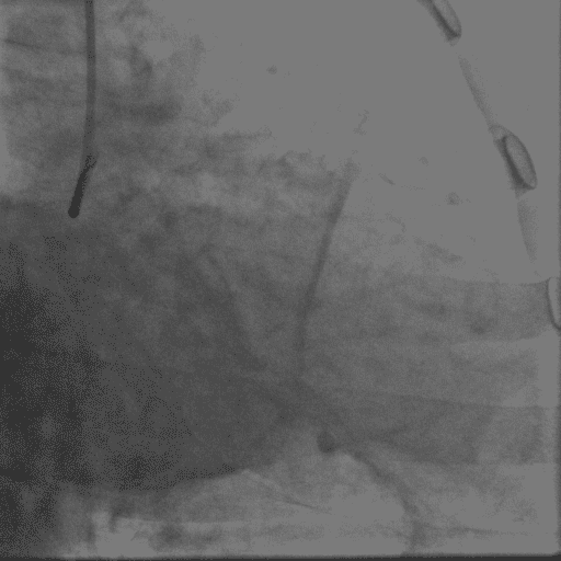
***冠状动脉造影
冠状动脉造影是最直观 , 最清楚的!就是直接到血管里看一看 , 它是一个“创伤性”的检查 , 但它是明确血管情况的“金标准” 。
文章插图
从手上的动脉里“插”一根管子 , 通到心脏的冠状动脉 , 再直接在冠状动脉口打造影剂 , 让冠状动脉“显影” , 能清楚地看到血管的走行、血管的数量、有没有畸形 , 能准确地判断评血管有没有狭窄、狭窄的程度等等 。
文章插图
【心电图|得了心脏病哪些检查最准确?这份“心脏检查指南”请收好!】↑冠状动脉造影图像 , 是不是清清楚楚?~
上次还讲到了“如果水管出了问题 , 我们的墙会烂、门会坏、电会乱!
所以门、墙、电路出问题 , 也要查查血管有没有堵住 。 水管堵住就像河流淤积了 , 一定要看看上游有什么问题 , 所以除了查血管本身之外 , 还要检查是什么原因导致的!
那就要明确有没有高血压、有没有高血糖、有没有高血脂 。
相应的:
①要检查血压 , 可以在家每天监测(每天固定) , 也可以做24h的血压监测 。
推荐阅读
- 医聊室|听说心脏病可根治?滨州市人民医院医生这样说
- 乳腺癌幸存者的研究,吃啥能防乳腺癌
- 得了乳腺癌,她为何不愿去治疗
- 国寿核保之声|得了胰腺炎该如何买保险
- 教你读懂心电图报告
- 医生提醒:女性要是出现这四种情况,就是得了妇科病,须及时治疗
- 得了冠心病,如何才能长寿?医生说:这3点很重要
- 甲状腺发炎,这是一个什么疾病?得了怎么办?
- 肝脏|肝区不舒服,一定是得了肝癌?
- 一家七口全患癌!警告:得了这5种癌症,可能“遗传”给下一代
