大姐反复发烧两个月!医生:这种致病菌每个人口中都有……
文章插图
这一年 , 大家重新认识了
“发烧发热”
文章插图
这个很多人心目中的小毛病
在临床医生眼里却从来
都不是小问题
文章插图
1 反复发烧数月 , 自己到底怎么了?
今年6月 , 杨女士(化名)出现发热症状 , 她第一时间去医院做检查 , 排除了新冠肺炎的可能性 。 随后 , 医生给她输液消炎治疗 , 可恢复不到半个月 , 杨女士就又发烧了 。
杨女士的女儿小张(化名)告诉采访人员 , 母亲反反复复烧了2个月 , 每次挂完水没多久又开始发烧 , 周边医院都看遍了 , 也查不出个病因 。 无奈之下 , 小张便带着母亲去了位于杭州的浙江大学医学院附属第一医院 , 当时门诊以不明原因性发热收治入院 。
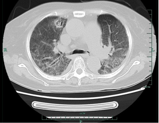
看过杨女士的肺部CT后 , 接诊医生有了初步判断 , 但同时也心生疑惑:杨女士每经过一次治疗体温都会暂时回归正常 , 可能还合并有其他病原体的感染 。
文章插图
进一步的检验证实了医生的疑惑 。 杨女士感染曲霉菌诊断明确 , 同时血培养提示草绿色链球菌 , 这是一种口腔定植菌 , 也就是说每个人的口腔内都有这种细菌 , 正常情况下它对人体并无大害 , 但如若进入血管内 , 有可能导致细菌性心内膜炎 。
2 细菌感染还是白血病?
医生迅速对杨女士进行了抗真菌治疗 , 她的体温也很快恢复正常 。 不过医生预判 , 她仍然是感染性心内膜炎的高危人群 , 建议回家继续口服抗真菌、抗感染药物至少6周 , 否则极有可能再次复发 。
然而 , 没想到的是 , 仅仅出院两星期 , 杨女士又出事了 。
文章插图
草绿色链球菌/图片来自网络
当时 , 女儿小张紧急致电医生 , 称母亲在江西当地医院被诊断为“急性白血病” , 这是怎么回事?难道之前漏诊了?
医生细细梳理了杨女士
出院后的行为
发现了蛛丝马迹 。
杨女士说 , 回老家后她吃了1周的药 , 便又去当地医院咨询 , 结果当地医生认为她之前心内膜炎的诊断不明确 , 建议她停药 。 就这样 , 停药一星期后 , 杨女士又开始发烧了 , 甚至还被怀疑得了“急性白血病” 。
浙大一院感染病科的医生再次让杨女士入院治疗 , 医生认为 , 她应该是由于擅自停药引发感染性心内膜炎 , 急性白血病的可能性很小 。
文章插图
3 医生“预言”成真
入院后 , 杨女士接受的心脏超声检查提示心内膜炎 , 同时血培养再次发现草绿色链球菌 , 她最终被确诊为亚急性细菌性心内膜炎 , 白细胞升高考虑是细菌性心内膜炎所致的类白血病反应 。
经过一个半月的治疗 , 杨女士的血常规白细胞已正常 , 心脏超声提示心脏瓣膜功能也恢复正常 , 来来去去“折腾”了4个多月的发热终于被成功制服 。
文章插图
文章插图
专家解读
草绿色链球菌存在于每个人的口腔中 , 当人体有心脏瓣膜疾病、心律不齐等基础疾病 , 伴随着拔牙、洗牙等因素导致定植细菌入血就有可能引起心瓣膜的感染 。
推荐阅读
- 想要预防湿疹反复发生,就应该做到以下几个方面
- 湿疹反复发作,要如何改善?医生:做好这4点可预防
- 感冒发烧优先选择输液?医生负责的告诉你,怎么做才是对的
- 癌细胞怕热,如果人发烧到43度,是不是可以治愈癌症?
- 独孤天下大姐的孩子是谁的
- 你口疮总是反复发作?原因到底是什么?博士这么一整理,清楚多了
- 男子反复头痛不见好一查竟是罕见多重细菌感染脑膜炎
- 口腔溃疡反复发作,是因为缺维生素吗?
- 堪比“砍头”!大姐头痛11年几欲寻死,长期头痛的人要注意了
- 天一冷,口腔溃疡反复发作,为什么“清火”没用?
